Hüftdysplasie bei Katzen und was du darüber wissen musst

Obwohl sie selten vorkommt, ist es wichtig, diese Krankheit zu kennen, die den natürlichen Bewegungsablauf des betroffenen Tiers beeinflusst. In diesem Artikel erfährst du alles, was du über Hüftdysplasie bei Katzen wissen musst.
Was ist Hüftdysplasie bei Katzen?
Sie ist ein seltenes Problem bei Katzen und tritt viel häufiger bei Hunden auf. Grundsätzlich verursacht die Hüftdysplasie eine anormale Entwicklung und Degeneration der Gelenke im Hüftbereich.
Es gibt eine gewisse erbliche Veranlagung, deshalb leiden beispielsweise weibliche Maine-Coon-Katzen häufiger an dieser Krankheit.
In schweren Fällen kann es zu Fehlstellungen von Knochen, Knorpelschäden durch unnatürliche Bewegungen, Arthrose durch Hinken und sogar zu lähmenden Schmerzen kommen.
Was dich auch noch interessieren könnte:
Hypertrophe Kardiomyopathie bei Katzen: Behandlungen und Pflege
Die Hüftdysplasie bei Katzen beginnt, wenn das Tier ein Welpe ist, das heißt, wenn die Knochen noch nicht vollständig entwickelt sind. Im Laufe der Zeit werden die Probleme allerdings schlimmer.
Verrenkungen und Knorpelschäden erzeugen Mikrofrakturen, die es dem Tier unmöglich machen, normal zu gehen, zu klettern, zu springen oder zu spielen.

Was sind die Symptome einer Hüftdysplasie bei Katzen?
Auch wenn die Diagnose von einem Tierarzt gestellt werden muss, haben wir als Tierhalter die Verpflichtung, auf bestimmte Symptome oder Anzeichen zu achten, die auf eine Hüftdysplasie bei Katzen hinweisen können:
1. Weniger Aktivität
Abnehmende Aktivität bei Katzen wird oft dem Alter zugeschrieben, aber auch gesunde Erwachsene und Senioren laufen, springen und klettern auf Bäume. Wenn dein Haustier also nicht mehr wie bisher spielt oder bestimmte Aktivitäten ausführt, ist es notwendig, dass du es vom Tierarzt untersuchen lässt.
2. Schmerzen
Hüftdysplasie bei Katzen ist sehr schmerzhaft, sodass sich betroffene Tiere in jeder Haltung, bei jeder Bewegung und bei jedem Schritt beklagen. Wenn du die Katze im unteren Rücken berührst, miaut sie vielleicht laut, denn sie hat Schmerzen.
3. Knacksen
Achte besonders auf Geräusche beim Gehen, Schlafen oder Bewegen der Katze. Bei einer Dysplasie ist es normal, ein Knacksen in der Hüfte zu hören. Dies geschieht vor allem dann, wenn die Samtpfote aufstehen will, nachdem sie mehrere Stunden auf dem Bett oder der Decke geschlafen hat.

4. Verbreiterte Schultern
Ein weiteres Symptom der Hüftdysplasie bei Katzen ist, dass der vordere Bereich der Katze immer breiter oder größer wird. Woher kommt das?
Zu verbreiterten Schultern kommt es, weil das Tier seine Bewegungen verändert und das gesamte Gewicht des Körpers nach vorne verlagert. Es ist, als würde man ins Fitnessstudio gehen und nur den Oberkörper trainieren.
5. Gebogener Rücken
Dysplasie führt auch zu Veränderungen in der Wirbelsäule. Wenn die Katze geht, musst sie sich nach vorne beugen und ihren Rücken krümmen, um das Gewicht auf den Hinterbeinen zu reduzieren.
Du wirst feststellen, dass sie ihre Ballen beim Bewegen kaum abstützt. Außerdem wird sie wahrscheinlich auch humpeln.
Behandlung der Hüftdysplasie bei Katzen
Da auch andere Krankheiten ähnliche Symptome verursachen, wird die Hüftdysplasie bei Katzen nicht immer richtig diagnostiziert. In vielen Fällen ist ein starkes Hinken (ein- oder beidseitig) der zuverlässige Beweis dafür, dass sie diese Krankheit hat.
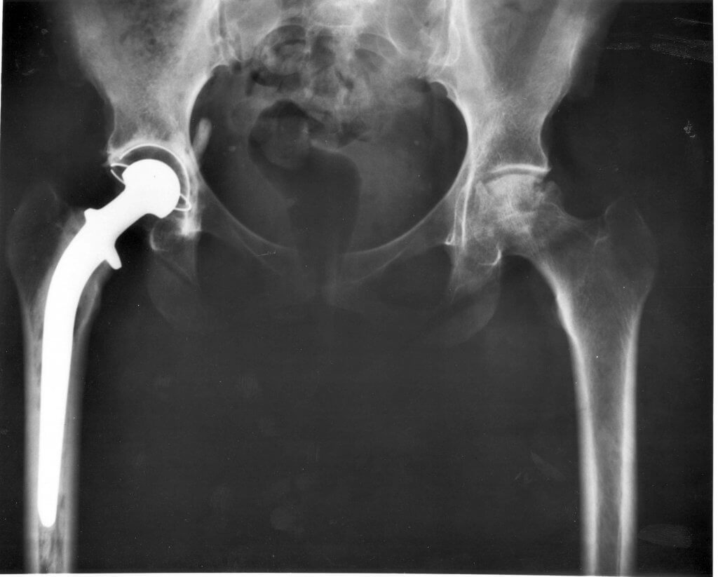
Dein Tierarzt wird die Hüftgelenke untersuchen und entsprechende Röntgenaufnahmen des Beckenbereichs machen, um das Problem zu identifizieren. Nach der Diagnose gibt es verschiedene Behandlungsmethoden, um die Symptome zu lindern und das Fortschreiten zu verhindern.
Ein weiterer Lesetipp für dich:
Bislang gibt es noch keine Heilung für Hüftdysplasie bei Katzen. Die Behandlung kann Physiotherapie, Einschränkung der Aktivitäten, die Verwendung von oralen oder injizierbaren entzündungshemmenden Medikamenten und Gewichtskontrolle beinhalten.
Bei weiter fortgeschrittenen Fällen kann man auch eine Operation durchführen, die sogar einen vollständigen Ersatz der Hüfte umfassen kann.
Obwohl sie selten vorkommt, ist es wichtig, diese Krankheit zu kennen, die den natürlichen Bewegungsablauf des betroffenen Tiers beeinflusst. In diesem Artikel erfährst du alles, was du über Hüftdysplasie bei Katzen wissen musst.
Was ist Hüftdysplasie bei Katzen?
Sie ist ein seltenes Problem bei Katzen und tritt viel häufiger bei Hunden auf. Grundsätzlich verursacht die Hüftdysplasie eine anormale Entwicklung und Degeneration der Gelenke im Hüftbereich.
Es gibt eine gewisse erbliche Veranlagung, deshalb leiden beispielsweise weibliche Maine-Coon-Katzen häufiger an dieser Krankheit.
In schweren Fällen kann es zu Fehlstellungen von Knochen, Knorpelschäden durch unnatürliche Bewegungen, Arthrose durch Hinken und sogar zu lähmenden Schmerzen kommen.
Was dich auch noch interessieren könnte:
Hypertrophe Kardiomyopathie bei Katzen: Behandlungen und Pflege
Die Hüftdysplasie bei Katzen beginnt, wenn das Tier ein Welpe ist, das heißt, wenn die Knochen noch nicht vollständig entwickelt sind. Im Laufe der Zeit werden die Probleme allerdings schlimmer.
Verrenkungen und Knorpelschäden erzeugen Mikrofrakturen, die es dem Tier unmöglich machen, normal zu gehen, zu klettern, zu springen oder zu spielen.

Was sind die Symptome einer Hüftdysplasie bei Katzen?
Auch wenn die Diagnose von einem Tierarzt gestellt werden muss, haben wir als Tierhalter die Verpflichtung, auf bestimmte Symptome oder Anzeichen zu achten, die auf eine Hüftdysplasie bei Katzen hinweisen können:
1. Weniger Aktivität
Abnehmende Aktivität bei Katzen wird oft dem Alter zugeschrieben, aber auch gesunde Erwachsene und Senioren laufen, springen und klettern auf Bäume. Wenn dein Haustier also nicht mehr wie bisher spielt oder bestimmte Aktivitäten ausführt, ist es notwendig, dass du es vom Tierarzt untersuchen lässt.
2. Schmerzen
Hüftdysplasie bei Katzen ist sehr schmerzhaft, sodass sich betroffene Tiere in jeder Haltung, bei jeder Bewegung und bei jedem Schritt beklagen. Wenn du die Katze im unteren Rücken berührst, miaut sie vielleicht laut, denn sie hat Schmerzen.
3. Knacksen
Achte besonders auf Geräusche beim Gehen, Schlafen oder Bewegen der Katze. Bei einer Dysplasie ist es normal, ein Knacksen in der Hüfte zu hören. Dies geschieht vor allem dann, wenn die Samtpfote aufstehen will, nachdem sie mehrere Stunden auf dem Bett oder der Decke geschlafen hat.

4. Verbreiterte Schultern
Ein weiteres Symptom der Hüftdysplasie bei Katzen ist, dass der vordere Bereich der Katze immer breiter oder größer wird. Woher kommt das?
Zu verbreiterten Schultern kommt es, weil das Tier seine Bewegungen verändert und das gesamte Gewicht des Körpers nach vorne verlagert. Es ist, als würde man ins Fitnessstudio gehen und nur den Oberkörper trainieren.
5. Gebogener Rücken
Dysplasie führt auch zu Veränderungen in der Wirbelsäule. Wenn die Katze geht, musst sie sich nach vorne beugen und ihren Rücken krümmen, um das Gewicht auf den Hinterbeinen zu reduzieren.
Du wirst feststellen, dass sie ihre Ballen beim Bewegen kaum abstützt. Außerdem wird sie wahrscheinlich auch humpeln.
Behandlung der Hüftdysplasie bei Katzen
Da auch andere Krankheiten ähnliche Symptome verursachen, wird die Hüftdysplasie bei Katzen nicht immer richtig diagnostiziert. In vielen Fällen ist ein starkes Hinken (ein- oder beidseitig) der zuverlässige Beweis dafür, dass sie diese Krankheit hat.
Dein Tierarzt wird die Hüftgelenke untersuchen und entsprechende Röntgenaufnahmen des Beckenbereichs machen, um das Problem zu identifizieren. Nach der Diagnose gibt es verschiedene Behandlungsmethoden, um die Symptome zu lindern und das Fortschreiten zu verhindern.
Ein weiterer Lesetipp für dich:
Bislang gibt es noch keine Heilung für Hüftdysplasie bei Katzen. Die Behandlung kann Physiotherapie, Einschränkung der Aktivitäten, die Verwendung von oralen oder injizierbaren entzündungshemmenden Medikamenten und Gewichtskontrolle beinhalten.
Bei weiter fortgeschrittenen Fällen kann man auch eine Operation durchführen, die sogar einen vollständigen Ersatz der Hüfte umfassen kann.
Alle zitierten Quellen wurden von unserem Team gründlich geprüft, um deren Qualität, Verlässlichkeit, Aktualität und Gültigkeit zu gewährleisten. Die Bibliographie dieses Artikels wurde als zuverlässig und akademisch oder wissenschaftlich präzise angesehen.
- Moraleda, L., Albiñana, J., Salcedo, M., & Gonzalez-Moran, G. (2013). Displasia del desarrollo de la cadera. Revista Espanola de Cirugia Ortopedica y Traumatologia. https://doi.org/10.1016/j.recot.2012.10.005
Dieser Text dient nur zu Informationszwecken und ersetzt nicht die Beratung durch einen Fachmann. Bei Zweifeln konsultieren Sie Ihren Spezialisten.







